


Understanding Your Rights: Who Can File a Depo-Provera Lawsuit?
Depo provera lawsuit qualifications hinge on three key factors: using the contraceptive shot for at least one year, a diagnosis of an intracranial meningioma (brain tumor), and medical records linking your diagnosis to the drug. Most eligible individuals received four or more injections of Depo-Provera, Depo-SubQ Provera 104, or a generic before their diagnosis.
Quick Qualification Checklist:
- Duration of Use: You received Depo-Provera injections for 12 months or longer (typically 4+ shots).
- Diagnosis: A doctor diagnosed you with an intracranial meningioma.
- Timing: Your diagnosis occurred after you started using Depo-Provera.
- Documentation: You have medical or pharmacy records proving your use.
- Statute of Limitations: You’re filing within your state’s deadline (1-6 years from diagnosis).
If you were diagnosed with a brain tumor after long-term Depo-Provera use, you are not alone. Many women used this popular contraceptive for years, unaware of a serious risk: meningiomas, tumors in the lining of the brain and spinal cord. While often benign, they can cause severe symptoms and require invasive surgery.
A 2024 study in The BMJ revealed that women using Depo-Provera for over a year were 5.6 times more likely to develop these tumors—a risk many were never warned about.
Now, over 1,200 lawsuits are consolidated against Pfizer, the manufacturer, alleging the company knew of the link but failed to warn U.S. consumers. This guide will clarify the depo provera lawsuit qualifications, the evidence needed, and potential disqualifiers.
The Science Behind the Lawsuits: Depo-Provera and Meningioma Risk
Understanding the depo provera lawsuit qualifications starts with the science linking the drug to brain tumors.
Depo-Provera, or medroxyprogesterone acetate (MPA), is a contraceptive injection administered every three months. It releases a synthetic hormone, progestin, to prevent pregnancy. While convenient and effective, its long-term use is now linked to a serious health risk.
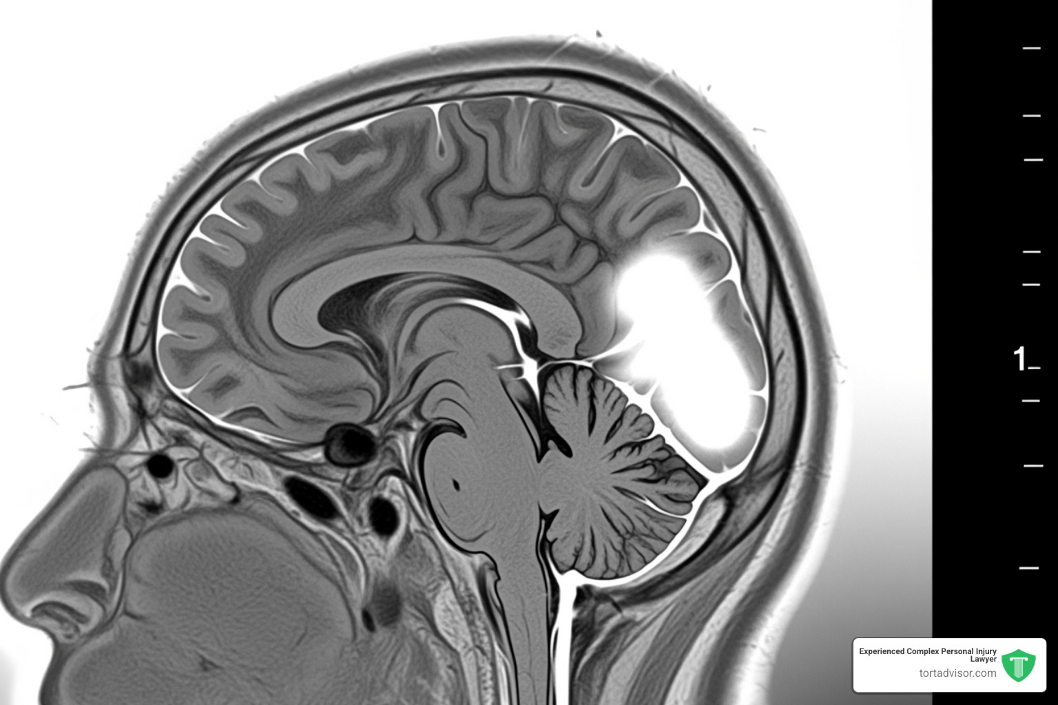
The risk involves meningiomas, tumors that grow in the protective membranes around the brain and spinal cord. According to the Mayo Clinic, they are the most common type of head tumor. Though usually benign (non-cancerous), meningiomas can grow large enough to press on the brain, causing severe health problems.
The connection is the synthetic progestin in Depo-Provera. Researchers believe high doses of MPA can trigger abnormal cell growth in the meninges. A March 2024 study in The BMJ found that women who used MPA for over a year had a 5.6 times higher risk of developing an intracranial meningioma. This isn’t a minor increase; it’s a more than fivefold risk.
This solid scientific evidence is the foundation of the lawsuits, which argue that the very hormone intended for reproductive freedom may have increased the risk of a brain tumor. For more on this, see our article on Does Depo-Provera Cause Brain Tumors?
Symptoms of a Meningioma
As a meningioma grows, it can cause debilitating symptoms by pressing on brain tissue. If you’ve used Depo-Provera long-term, be aware of these warning signs.
- Persistent Headaches: Severe, ongoing headaches that don’t improve with standard medication.
- Vision and Hearing Changes: Blurred or double vision, loss of peripheral vision, ringing in the ears (tinnitus), or hearing loss.
- Seizures: Convulsions or more subtle episodes like staring spells.
- Balance Problems: Dizziness, vertigo, or stumbling.
- Cognitive Changes: Memory loss, confusion, difficulty concentrating, or personality shifts.
If you experience these symptoms after using Depo-Provera, seek immediate medical attention. Early diagnosis is crucial. For a full list of side effects, visit our Depo-Provera Lawsuit Side Effects Guide. The clear scientific link between long-term Depo-Provera use and brain tumors is why these lawsuits are proceeding.
A Step-by-Step Guide to Depo Provera Lawsuit Qualifications
To qualify for a Depo-Provera lawsuit, your case needs three strong components: a history of using the drug, a formal meningioma diagnosis, and evidence connecting the two. Missing any of these can jeopardize your claim.
Criterion 1: Your History of Depo-Provera Use
You must prove consistent, long-term use of Depo-Provera. The scientific link to meningiomas is strongest with prolonged exposure to its active ingredient, medroxyprogesterone acetate.
- Duration: You must have used Depo-Provera for at least 12 months, which typically means four or more shots. This aligns with research showing a significantly higher risk after one year of use.
- Product: Claims can involve the brand name Depo-Provera, its lower-dose version Depo-SubQ Provera 104, or any authorized generics.
- Proof: You will need documentation like prescription records, pharmacy receipts, or medical charts confirming the dates you received the injections. This paper trail is essential. For more on legal actions, see our Birth Control Shot Lawsuit page.
Criterion 2: A Qualifying Meningioma Diagnosis
A specific injury is required: a diagnosed meningioma that meets strict criteria.
- Formal Diagnosis: A medical professional must have formally diagnosed you with a meningioma, usually confirmed by an MRI or CT scan.
- Location: Lawsuits focus on intracranial meningiomas—tumors inside the skull. The scientific evidence is strongest for these tumors.
- Timing: Your diagnosis must have occurred after you started using Depo-Provera. A pre-existing tumor will disqualify a claim.
The severity of your case, including whether you required surgical removal or radiation therapy, will also impact your claim’s value. Learn more about the link at our Depo Shot Brain Tumor page.
Criterion 3: The Evidence Linking Your Injury to the Drug
The final step is proving Depo-Provera caused your tumor. This is where the depo provera lawsuit qualifications become most complex and documentation is critical.
You must gather all evidence connecting your drug use to your diagnosis. This includes:
- Complete Medical Records: All documents related to your diagnosis and treatment, including imaging results (MRIs, CT scans), pathology reports, and detailed doctor’s notes.
- Pharmacy and Prescription History: These records establish the duration and dosage of your Depo-Provera use.
- Expert Testimony: Your legal team will likely work with medical experts to provide testimony that links the progestin in Depo-Provera to your tumor growth, connecting the general science to your specific case.
You have a right to access your medical records under HIPAA. An experienced attorney can help you gather this evidence. For more details, see our Depo-Provera Lawsuit Criteria Guide.
Common Problems: What Can Disqualify a Depo-Provera Claim?
Not everyone who used Depo-Provera and later developed a brain tumor will qualify for compensation. Certain factors can weaken or disqualify your claim. Understanding these roadblocks helps set realistic expectations.
The Statute of Limitations: A Critical Deadline for Your Claim
The statute of limitations is a strict deadline for filing a lawsuit. Once this window closes, your legal rights may be lost forever.
- State-Specific Deadlines: The time limit varies by state, typically ranging from 1 to 6 years. Consulting an attorney in your jurisdiction is essential.
- When the Clock Starts: The clock usually starts ticking on either the date of your diagnosis or the date you found the link between your meningioma and Depo-Provera. This is known as the “discovery rule” and can be crucial for those diagnosed years ago who only recently learned of the connection.
Acting quickly is vital. Contacting an attorney for a free consultation preserves your rights, even if you are still undecided about filing a lawsuit. Legal deadlines are absolute. For more on eligibility, see our page on Who May Qualify to File a Depo-Provera Lawsuit?.
Other Potential Disqualifying Factors
Beyond the statute of limitations, other issues can prevent a successful claim. Key disqualifiers include:
- Pre-existing Brain Tumors: A diagnosis of a meningioma or related neurological issues before you started Depo-Provera breaks the causal link.
- Insufficient Use: Using the drug for less than the one-year (or four-shot) minimum generally disqualifies a claim, as the risk is associated with long-term use.
- Lack of Medical Evidence: Without medical records, prescription history, or imaging results, it is extremely difficult to prove your case.
- Concurrent Use of Other Progestin Drugs: Using other medications known to increase meningioma risk can complicate the argument that Depo-Provera was the sole cause.
- Significant Time Gap: A very long delay (e.g., 15-20 years) between your last injection and your diagnosis can make proving causation more difficult, though not always impossible.
Even if one of these factors applies to you, an experienced attorney may find exceptions or workarounds. The only way to know for sure is to have your case evaluated.
Understanding Your Legal Options and Potential Compensation
If you meet the depo provera lawsuit qualifications, you can pursue a product liability claim against Pfizer. These lawsuits allege that the company failed to warn American consumers about the known risk of brain tumors associated with their drug.
What is a Depo-Provera Lawsuit Worth?
While every case is unique, legal experts estimate that individual settlement amounts could range from $100,000 to $500,000 or more, depending on the severity of the injury and its impact on your life. Compensation is typically broken into three categories:
- Economic Damages: Covers tangible financial losses, including past and future medical bills, lost wages, and reduced earning capacity.
- Non-Economic Damages: Compensates for intangible suffering, such as physical pain, emotional distress, and loss of quality of life.
- Punitive Damages: May be awarded to punish the defendant for egregious conduct, such as knowingly concealing risks from the public, and to deter similar behavior in the future.
The final settlement amount will depend on your specific medical journey and the strength of your evidence. For more details, see our Depo-Provera Settlement Amounts Lawsuit Guide.
How the Depo-Provera MDL Affects Your Case
The Depo-Provera lawsuits are not a class action but a Multidistrict Litigation (MDL). An MDL consolidates individual lawsuits into one federal court to handle pretrial proceedings like discovery and expert testimony efficiently. This streamlines the process while preserving the individuality of your claim.
The Depo-Provera cases are consolidated as MDL No. 3140 in the Northern District of Florida [https://www.jpml.uscourts.gov/sites/jpml/files/MDL-3140-Transfer_Order-1-25.pdf]. While you benefit from shared evidence proving the drug’s risks, your compensation is determined based on your personal circumstances—your medical bills, lost income, and pain and suffering.
The MDL may use bellwether trials (test cases) to gauge jury reactions, which often helps guide settlement negotiations for all remaining cases. To follow the latest developments, see our guides on the Legal Status of the Depo Provera Lawsuits and Depo-Provera Lawsuit Updates 2025.
Frequently Asked Questions about Depo-Provera Lawsuit Eligibility
Here are answers to common questions about depo provera lawsuit qualifications.
How long must I have used Depo-Provera to have a case?
Most law firms require a history of use for at least one year, which is equivalent to about four injections. This duration is critical because scientific studies show the risk of meningiomas becomes significant after one year of continuous use. Shorter-term use makes it much harder to prove that the drug caused the tumor.
Can I file a lawsuit if I used a generic version of the Depo shot?
Yes. Lawsuits include the brand name Depo-Provera, its lower-dose version Depo-SubQ Provera 104, and any authorized generic versions containing the active ingredient medroxyprogesterone acetate. The active ingredient is what matters, not the brand name.
What are the first steps I should take if I think I qualify?
If you believe you meet the qualifications, follow these steps:
- Prioritize Your Health: If you have symptoms, seek immediate medical attention to get a formal diagnosis. This is critical for both your health and your potential legal case.
- Gather Records: Start collecting all relevant documents, including your meningioma diagnosis, imaging scans, treatment records, and your complete prescription history for Depo-Provera. An attorney can help you obtain any missing records.
- Contact an Attorney: Reach out to an experienced dangerous drug lawyer for a free case evaluation. This allows you to understand your legal options without any cost or obligation and ensures you do not miss the statute of limitations deadline.
Taking the Next Step: How to Pursue Your Claim
If you meet the depo provera lawsuit qualifications, you have the right to seek justice. You are not powerless against a pharmaceutical giant like Pfizer.
To summarize, you may qualify if you:
- Used Depo-Provera (or a generic) for at least 12 months (4+ shots).
- Received a formal medical diagnosis of an intracranial meningioma after starting the drug.
- Are within your state’s statute of limitations (typically 1-6 years).
Taking on this legal battle alone is daunting. You need a skilled attorney who understands how to build a strong case and fight for the compensation you deserve.
Tort Advisor connects people like you with top-rated attorneys specializing in dangerous drug litigation. Our network includes lawyers with proven track records across the United States.
Time is critical. Evidence can be lost, and the statute of limitations is an absolute deadline. Don’t let your opportunity to seek compensation expire.
Contact a Depo-Provera Injury Lawyer to discuss your case today. The consultation is free and carries no obligation. Get clear, honest answers about your situation and learn how to move forward. You have been through enough—let us help you fight for the justice you deserve.
Free Confidential Case Evaluation
Complete the short form below to get an immediate FREE case review with an expert in your specific claim. Don't wait, your case could be time sensitive to file a claim.
Related Posts
Discover New Jersey disability benefits: TDI, FLI, SSDI, SSI rates, eligibility, applications & appeals for 2025-2026.
Hire a Depo-Provera lawsuit attorney now. Fight Pfizer for meningioma risks from injections. Free consult, MDL updates & settlements up to $1.5M.
Find top Miami florida car accident lawyers after your 305 crash. Get max compensation, navigate no-fault laws & choose the best experts now!
Diagnosed with cancer after Roundup? Learn about the monsanto roundup lawsuits, eligibility criteria, and how to pursue your claim.
Discover how do you qualify for a hair relaxer lawsuit: criteria, diagnoses, evidence & brands in uterine cancer MDL. Claim review now!
Find the best uber sexual assault lawsuit lawyer: expert guides, MDL experience, proven results & nationwide firms for justice.









