


Understanding the Serious Health Risks You Need to Know
Depo-Provera severe side effects include significant bone density loss, a higher risk of blood clots and stroke, and potential links to brain tumors (meningiomas). While many women use this birth control shot safely, understanding these risks is crucial for making informed health decisions.
Most Serious Depo-Provera Side Effects:
- Bone Density Loss: FDA Black Box Warning for osteoporosis risk, especially with use over 2 years.
- Meningioma Brain Tumors: A 5.6x increased risk with long-term use (over 1 year), per a March 2024 study.
- Blood Clots (DVT): Nearly 4x higher risk compared to non-users.
- Cardiovascular Events: Increased risk of stroke and pulmonary embolism.
- Vision Problems: Blurred vision, vision loss, or sudden blindness.
- Mental Health Changes: Depression, anxiety, and severe mood swings.
- Delayed Fertility Return: An average of 10 months to conceive after stopping.
Seek Immediate Medical Attention for: Severe abdominal or chest pain, sudden shortness of breath, severe leg pain or swelling, sudden severe headaches, vision changes, or signs of a stroke or allergic reaction.
Recent studies have raised serious concerns about Depo-Provera risks that many women were not warned about. A March 2024 study in The BMJ found that using Depo-Provera for over a year led to a more than five-fold increase in meningioma brain tumors. Troublingly, U.S. labels do not include the meningioma warnings found on labels in Canada, the UK, and Europe.
If you’ve used Depo-Provera, you need to know the full picture of its potential effects, including the severe and potentially life-altering complications now coming to light. This guide will walk you through these serious risks and your options if you’ve been harmed.
Simple guide to Depo-Provera severe side effects terms:
- depo-provera lawsuit
- depo-provera lawsuit payout date
- depo provera lawsuit qualifications
Understanding Common Side Effects and Initial Adjustments
Before diving into the Depo-Provera severe side effects, it’s helpful to understand how the shot works and what most women experience initially. Depo-Provera delivers a synthetic hormone, medroxyprogesterone acetate, to prevent pregnancy by stopping ovulation, thickening cervical mucus to block sperm, and thinning the uterine lining.
When taken as prescribed every three months, the shot is about 99% effective. With typical use, effectiveness drops to around 96%.
Here’s what to expect as your body adjusts:
Your period will likely change. Changes in your menstrual cycle are the most common side effect. In the first few months, you may have unpredictable bleeding or spotting. After a year, about 55% of women stop getting their periods altogether.
Weight gain is common. Studies show an average gain of 5 pounds after one year, climbing to 16.5 pounds after six years, due to fluid retention and metabolic changes.
Headaches may occur as your body adjusts to the new hormone levels, usually mild to moderate.
Your mood might shift. Some women report mood swings, irritability, or anxiety. Monitoring mental health changes is important with any hormonal contraceptive.
The injection site might be sore. Tenderness, redness, or swelling where you received the shot is common and usually fades in a few days.
While these side effects are typically manageable, they are very different from the serious complications discussed next. If any of these symptoms are severe or don’t improve, talk to your healthcare provider. If you’ve experienced complications beyond these common adjustments, you may want to understand your legal options. More info about dangerous drug attorneys is available for those harmed by medications they were told were safe.
Unpacking the Most Serious Depo-Provera Side Effects
Beyond manageable inconveniences, Depo-Provera is linked to serious, potentially life-altering health risks affecting your bones, heart, and brain. Many women were not adequately warned about these devastating consequences. Let’s examine the most serious risks associated with Depo-Provera.
The Link Between Depo-Provera and Significant Bone Density Loss
The FDA has issued a Black Box Warning for Depo-Provera—its strongest safety alert—due to the risk of significant bone weakening. The shot suppresses estrogen, a hormone critical for bone strength, which leads to accelerated calcium and density loss. For some women, this bone loss is permanent, even after they stop the medication.
This is especially concerning for teens and young women, as this is a critical period for building peak bone mass. Using Depo-Provera during this time can compromise lifelong bone strength, increasing the risk of early-onset osteoporosis and fractures.
Due to this risk, the FDA advises against using Depo-Provera for more than two years unless other birth control methods are unsuitable. If you continue longer, your doctor should monitor your bone density. The manufacturer, Pfizer, has paid settlements for failing to properly warn patients about this risk. You can read the FDA warning about bone loss directly.
If you’ve suffered significant bone density loss or fractures after using this drug, you may be able to file a Depo-Provera Bone Loss Lawsuit. Our Depo-Provera Lawsuit Side Effects Guide offers more legal information.
Cardiovascular Risks: Blood Clots, DVT, and Stroke
Depo-Provera carries serious cardiovascular risks. Research indicates that women using the shot are nearly four times more likely to develop Deep Vein Thrombosis (DVT) than non-users. A DVT is a blood clot in a deep leg vein that can cause pain and swelling.
The danger escalates if the clot breaks free and travels to the lungs, causing a potentially fatal pulmonary embolism, or to the brain, causing a stroke.
Symptoms requiring immediate emergency care include:
- Sudden, severe leg pain or swelling (usually in one leg)
- Unexplained shortness of breath or chest pain
- Coughing up blood
- Signs of a stroke: sudden numbness on one side, confusion, trouble speaking, sudden vision problems, a severe headache, or difficulty with balance.
Do not wait to seek help if you experience these symptoms. If you’ve suffered from blood clots, a pulmonary embolism, or a stroke after using Depo-Provera, our Birth Control Shot Lawsuit resource can connect you with experienced attorneys. Review the Study on DVT risk for more scientific evidence.
Vision Problems and Other Neurological Issues
Depo-Provera severe side effects can also include troubling neurological symptoms. Vision problems can range from blurred vision to partial or complete vision loss, which could indicate a blood clot or a brain tumor pressing on the optic nerve.
Severe migraines, especially if they are new or worsening, can be an early warning sign of a meningioma. Seizures have also been reported and always require emergency medical attention. Persistent dizziness that interferes with daily function could also signal a serious neurological issue.
These symptoms demand immediate medical evaluation. Do not let them be dismissed as anxiety or minor side effects. For those who have experienced such complications, our Depo-Provera Injury Claim Complete Guide provides information on your legal options.
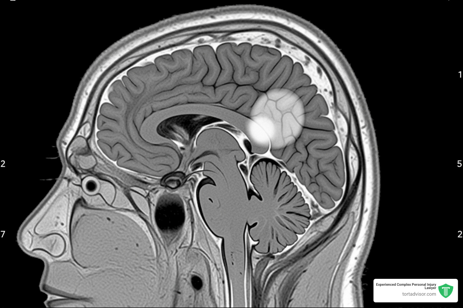
The Emerging Link: Depo-Provera and Meningioma Brain Tumors
Perhaps the most alarming of the Depo-Provera severe side effects is the emerging connection to meningioma brain tumors, backed by significant scientific research.
Meningiomas are tumors that grow on the protective tissues surrounding the brain and spinal cord. Though usually noncancerous, their growth inside the skull can press on brain tissue, causing serious symptoms.
A groundbreaking March 2024 study in The BMJ found that women who used Depo-Provera for over a year had a 5.6-fold increased risk of developing meningiomas. The study also showed that the longer the drug was used, the higher the risk became.
The biological link is plausible because meningiomas have progesterone receptors. The synthetic progestin in Depo-Provera may fuel the growth of these tumors. You can read the full March 2024 study in The BMJ for detailed findings.
Symptoms to watch for include:
- Persistent or worsening headaches
- Vision changes like blurred or double vision
- New-onset seizures
- Hearing loss or ringing in the ears
- Memory problems or personality changes
- Numbness or weakness in limbs
This situation is especially troubling because while Depo-Provera labels in Canada, the UK, and Europe were updated to warn of meningioma risks, U.S. labels have not consistently included this warning. This discrepancy suggests American women were not given the same opportunity for informed consent. The FDA’s own data shows tumors (neoplasms) are the most reported side effect for Depo-Provera as of August 2024.
If you’re asking, Does Depo-Provera Cause Brain Tumors?, the evidence points to a significant association, which is now a central focus of litigation against the manufacturer.
Navigating the Aftermath: When to Seek Help and Your Legal Options
Knowing the severe side effects of Depo-Provera is the first step; the next is knowing when to seek medical and legal help if you’ve been harmed.
Managing Side Effects and Knowing When to Stop
If you have concerning symptoms, talk to your healthcare provider. They can determine if your symptoms are a common adjustment or something more serious and discuss alternative birth control methods.
For some side effects, lifestyle changes can help. To counter bone density loss, your doctor may suggest increasing calcium and Vitamin D intake and doing weight-bearing exercises. Keeping a symptom journal can also provide your doctor with valuable information.
Given the FDA’s recommendation against using Depo-Provera for longer than two years, regular check-ins are crucial if you’ve been on the shot long-term. Your doctor may recommend a bone density test to assess your health. For general information, the Cleveland Clinic provides helpful resources. Stay informed on the latest developments with our Depo-Provera Lawsuit News Ultimate Guide.
When to seek immediate medical attention:
Some symptoms require emergency care. Go to the ER for severe abdominal pain, chest pain, sudden shortness of breath, severe leg pain with swelling, sudden severe headaches, vision changes, signs of stroke (slurred speech, facial drooping), seizures, or symptoms of an allergic reaction. Unusually heavy vaginal bleeding or signs of liver problems (yellowing skin/eyes) also require urgent evaluation.
Understanding Your Legal Rights for Depo-Provera Severe Side Effects
If you suffered serious health complications after using Depo-Provera, you may have legal options. Many women who developed meningioma brain tumors or severe bone density loss are pursuing product liability claims against Pfizer. The core allegation is that Pfizer failed to adequately warn American patients about these risks, even while updating labels in other countries.
Who might qualify for a lawsuit?
Generally, women who used Depo-Provera for over a year and were later diagnosed with a meningioma are strong candidates. Those who suffered severe, irreversible bone density loss or other serious injuries like blood clots and strokes may also have claims. Our Depo-Provera Lawsuit Qualifications page provides more detail.
Successful lawsuits can help victims recover compensation for medical bills, lost wages, diminished earning capacity, and pain and suffering. To learn more about potential compensation, see our Depo-Provera Settlement Amounts Lawsuit Guide.
Time is critical. Each state has a statute of limitations, a deadline for filing a lawsuit. Missing this deadline could forfeit your right to seek compensation. If you believe you have a case, contact an experienced attorney. Tort Advisor connects victims with skilled attorneys who have proven results in complex pharmaceutical injury cases. You don’t have to face this alone.
Frequently Asked Questions about Depo-Provera Risks
What is the black box warning on Depo-Provera?
The FDA requires a black box warning—its most serious safety alert—on Depo-Provera due to the significant loss of bone mineral density (BMD). Using the shot for extended periods, especially over two years, increases the risk of developing osteoporosis and fractures. This bone loss may not be fully reversible after you stop taking the drug, potentially affecting your skeletal health long-term.
This warning highlights the need for a serious discussion with your healthcare provider. If you have existing risk factors for osteoporosis (family history, smoking), Depo-Provera may not be the best choice. Your doctor should help you weigh the benefits against these risks, particularly for use beyond the two-year mark.
Can Depo-Provera cause cancer or tumors?
Recent research shows a significant link between long-term Depo-Provera use and meningioma brain tumors. A March 2024 study found that women using the drug for over a year had a risk increase of more than five times compared to non-users.
While meningiomas are typically benign (noncancerous), they can cause severe neurological symptoms as they grow and press on the brain, often requiring surgery. The FDA’s adverse event database lists tumors (neoplasms) as the most frequently reported side effect for Depo-Provera as of August 2024.
Some research has also suggested a slightly liftd risk of breast cancer, particularly among younger women or long-term users. While evidence is still evolving, it adds to the concerns about the drug’s long-term safety.
How long is it safe to use Depo-Provera?
Both the FDA and the manufacturer, Pfizer, state that Depo-Provera should not be used for longer than two years unless other birth control methods are inadequate. This recommendation is a direct result of the bone density loss concerns.
If you must continue using Depo-Provera beyond two years, your doctor should monitor your bone health with regular bone mineral density tests. This two-year guideline reflects the point at which the risks may begin to outweigh the contraceptive benefits for most women. If you are approaching or have passed this mark, have a conversation with your provider about your options.
Conclusion: Making Informed Decisions and Seeking Justice
Your health decisions require complete, honest information. This guide has detailed the full spectrum of Depo-Provera severe side effects, from the FDA’s Black Box Warning on bone density loss to the alarming link to meningioma brain tumors, cardiovascular events, and other serious complications.
These risks are not minor. They are potentially life-altering, and many women were not adequately warned. The principle of informed consent means you have the right to know the full risk profile of any medication. Before starting or continuing Depo-Provera, have a detailed conversation with your healthcare provider about your personal health history and whether this drug is the right choice for you.
If you or a loved one has already suffered a meningioma diagnosis, severe bone loss, blood clots, or other significant injuries after using Depo-Provera, you do not have to face the consequences alone. The physical, emotional, and financial toll can be overwhelming.
Legal action can make a real difference. Tort Advisor connects individuals harmed by dangerous drugs with highly skilled attorneys who specialize in product liability litigation. They can help you understand if you qualify for compensation for medical expenses, lost wages, and pain and suffering. Many work on a contingency basis, meaning you pay nothing unless they win your case.
Time is limited by state laws, so do not wait to explore your options. Learn more about filing a Depo-Provera Lawsuit and take the first step toward justice.
You trusted Depo-Provera. If that trust was betrayed by inadequate warnings about Depo-Provera severe side effects, you deserve accountability and compensation. Let Tort Advisor connect you with an attorney who will fight for the justice you deserve.
Free Confidential Case Evaluation
Complete the short form below to get an immediate FREE case review with an expert in your specific claim. Don't wait, your case could be time sensitive to file a claim.
Related Posts
Discover New Jersey disability benefits: TDI, FLI, SSDI, SSI rates, eligibility, applications & appeals for 2025-2026.
Hire a Depo-Provera lawsuit attorney now. Fight Pfizer for meningioma risks from injections. Free consult, MDL updates & settlements up to $1.5M.
Find top Miami florida car accident lawyers after your 305 crash. Get max compensation, navigate no-fault laws & choose the best experts now!
Diagnosed with cancer after Roundup? Learn about the monsanto roundup lawsuits, eligibility criteria, and how to pursue your claim.
Discover how do you qualify for a hair relaxer lawsuit: criteria, diagnoses, evidence & brands in uterine cancer MDL. Claim review now!
Find the best uber sexual assault lawsuit lawyer: expert guides, MDL experience, proven results & nationwide firms for justice.










